Our Advantage
Back
Commitment To Excellence
Cost & Affordability
Anesthesia Options
Implant Dentistry
Back
What To Expect
Full Mouth Dental Implants
Zygomatic Dental Implants
Am I A Candidate?
What Are Your Options
Pre- And Post-Operative Instructions
Back
Pre-Operative Instructions
Post-Operative Instructions
Frequently Asked Questions
Amazing Results
Back
Before & After Photos
Contact Us
Contact Us
Directions
Call Us
New Patients
Current Patients
Close
Before & After Photos - Missoula, MT
The Proof Is
In Our Patients
Before &
After Photos
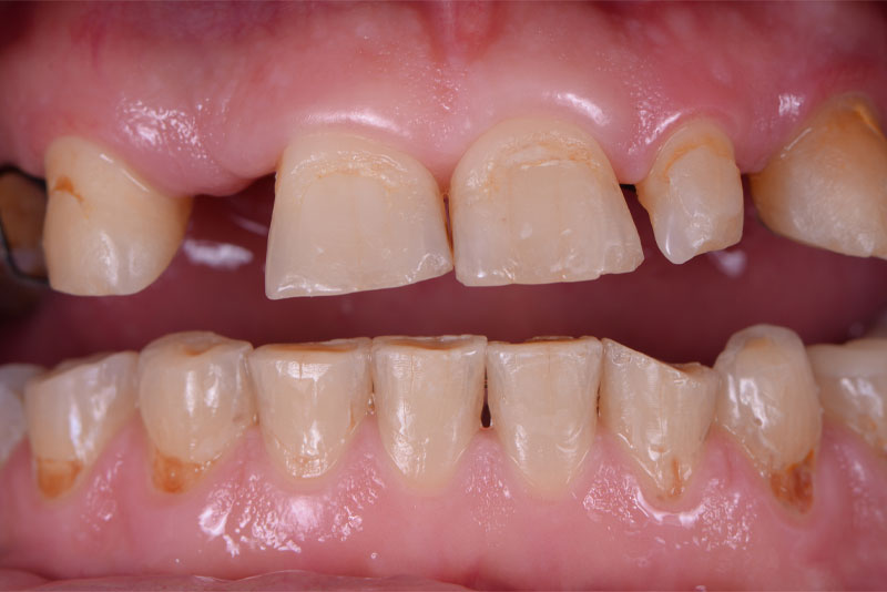
Before
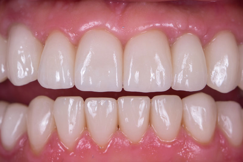
After
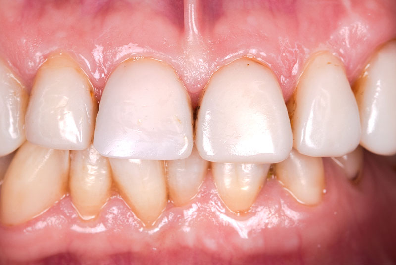
Before
After
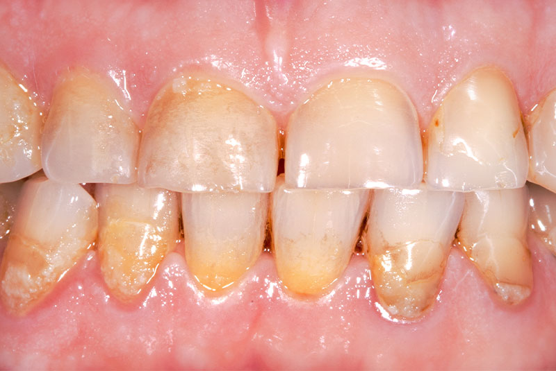
Before
After
Before
After